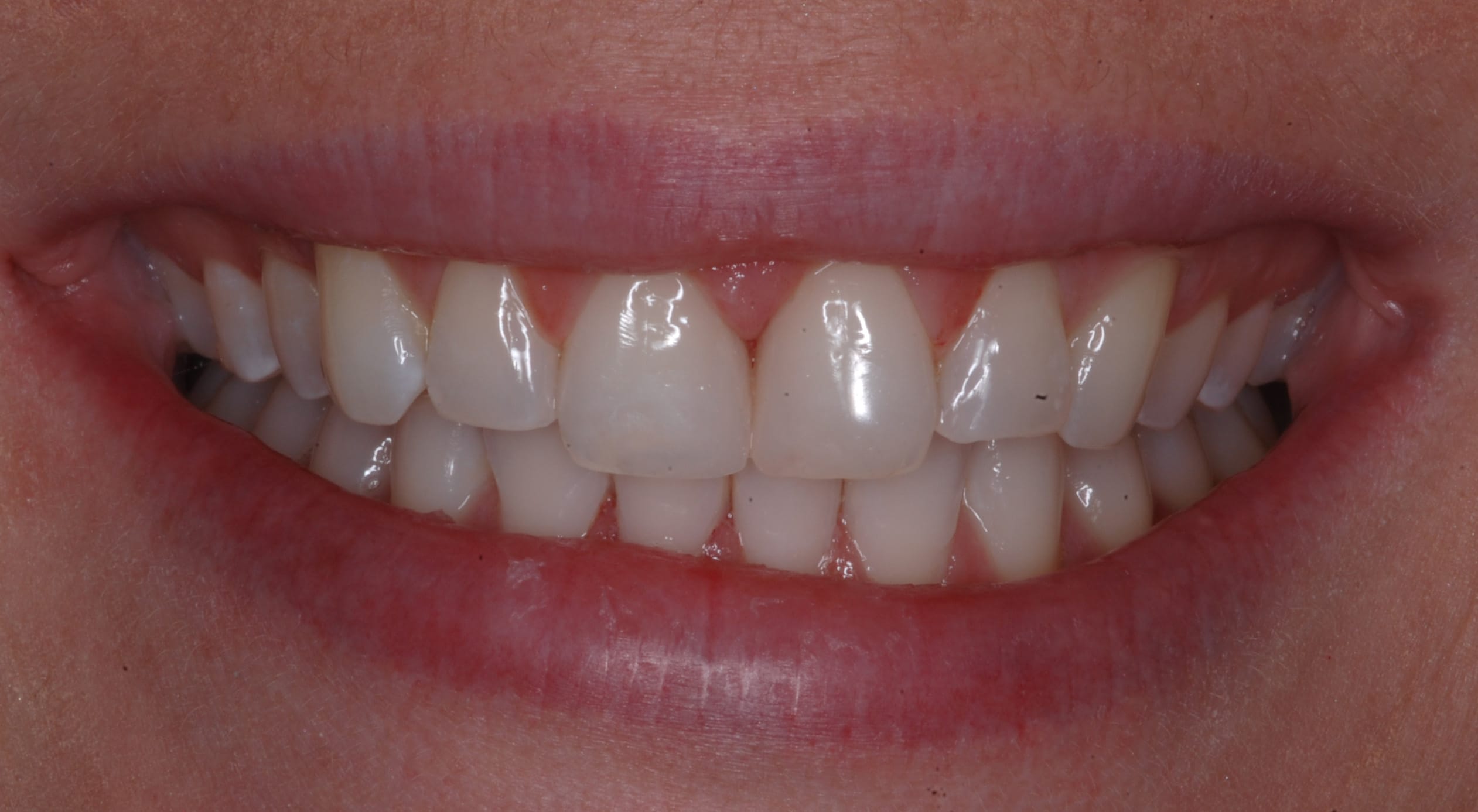
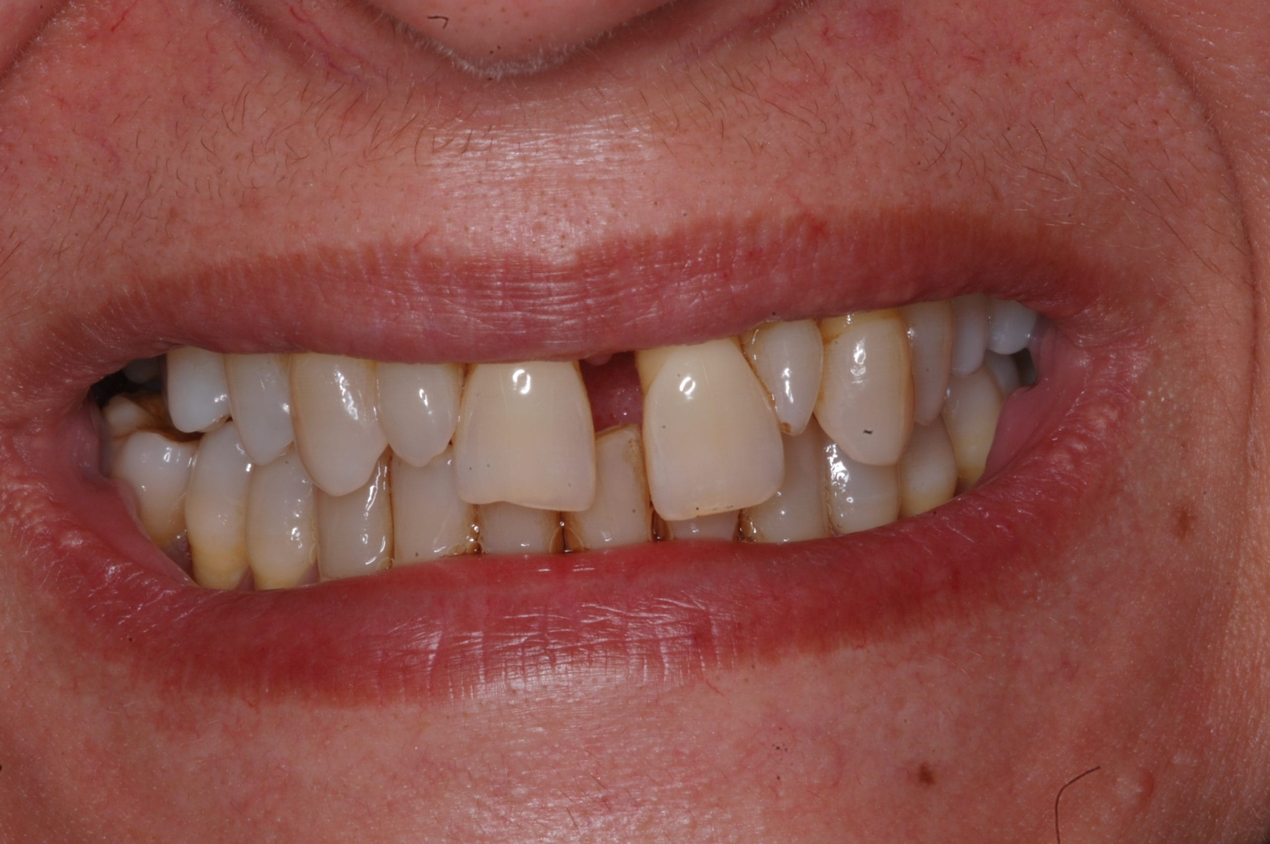
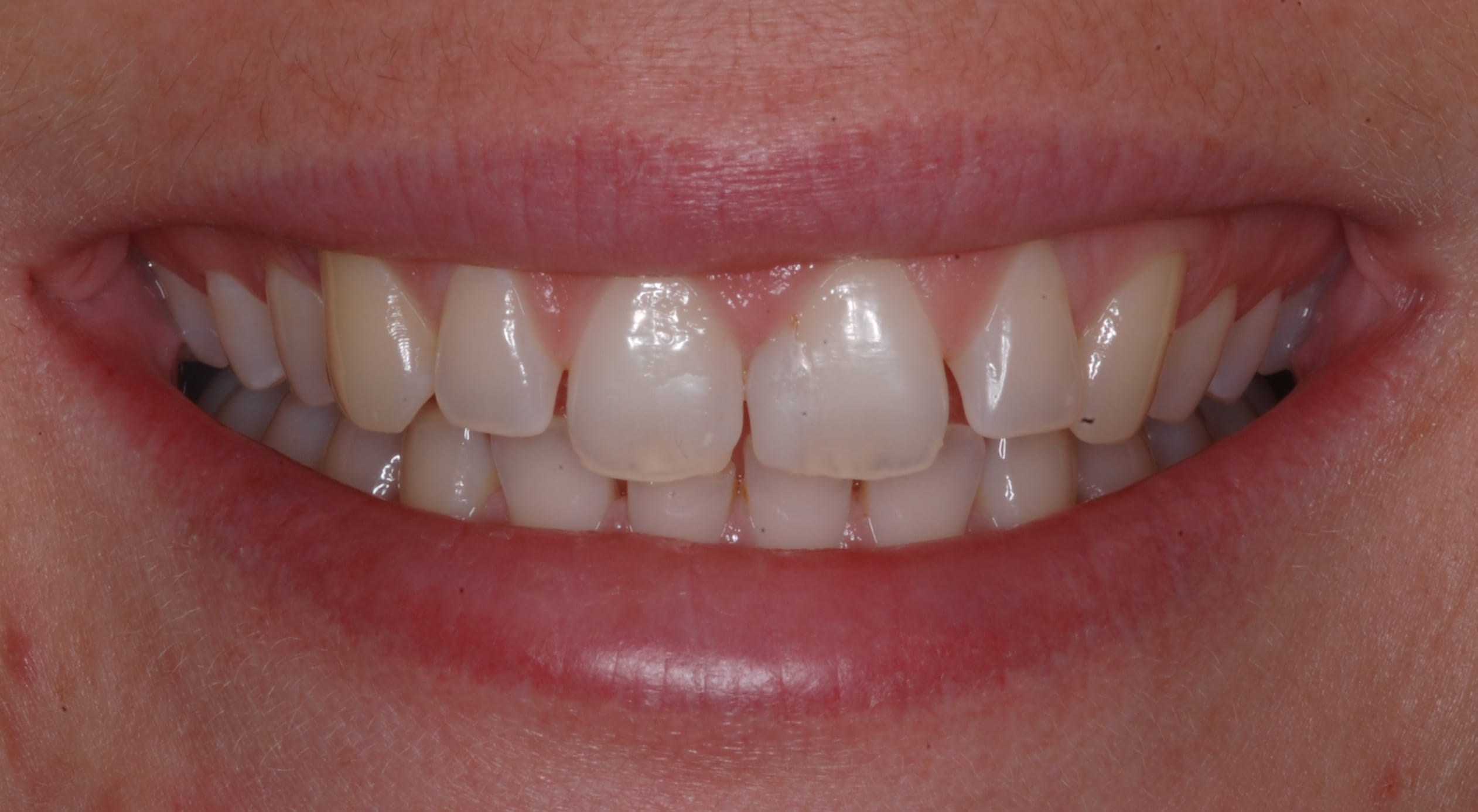
Treatment of the Month
Each month, we spotlight a special treatment to help you achieve your aesthetic goals. From radiant skin to a dazzling smile, our expert team will guide you towards your desired look. Witness the magic firsthand with our incredible before and afters.















